
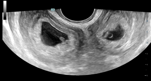
孕5周+6天🔼

孕21周🔼
与正常妊娠相比,
双子宫中的双胎妊娠(包括辅助生殖技术/自然受孕)的总体发生率约为百万分之一。
在双子宫的每个腔内自然受孕的双胎极为罕见,
迄今为止国内外仅报告了几例,
成功足月分娩的更是罕见。
02 ⬇
慎重!高危妊娠风险,严密监护“挺到”孕26周
鉴于一胎不良结局,
医生建议进行产前免疫检查,
李女士确诊妊娠期抗磷脂综合征(简称APS)
APS
它是一种非炎症性自身免疫性疾病,
其临床特征为抗磷脂抗体持续阳性,
伴血管内血栓形成和相关妊娠并发症。
妊娠合并APS被认为是高危妊娠,
可累及多个器官、系统,
对孕产妇及胎儿产生严重影响。
这无疑给李女士的孕期,
又增加了一项风险!
为此,李女士谨慎小心,
在小某书、多个媒体查找治疗信息,
最后,在周边孕妈分享了的“孕路历程”中,
她找到了产科蔡颖主任团队,
她说
看到周边孕妈的分享,
这个团队对孕妈们
有着精细化的营养膳食管理,
也很认真负责,就毫不犹豫地选择了!
为避免多种不良妊娠结局的发生,
蔡颖主任团队为李女士制定了严密方案。
孕期予以免疫治疗及皮下注射肝素等辅助治疗,
通过合理营养、运动饮食控制,
在产科的严密监护下,
整个孕期体重增加了14公斤。
此处必须为李女士的谨遵医嘱和蔡颖主任团队的努力鼓掌!
03 ⬇
惊心!先兆流产,多学科协作一切顺利!
然而好事多磨,
孕26周时,李女士不慎跌倒,
出现阴道流血伴下腹部疼痛,
因先兆流产住院,
期间予以抑制宫缩、促胎肺成熟、
预防感染等保胎治疗。
病情好转后,平安出院,
继续严密孕期监护。
一直到孕37周,
在充分的术前准备、多学科协作下,
蔡颖主任团队为李女士进行剖宫产。

(图为蔡颖主任团队为李女士手术)
手术一切顺利,
成功迎接一对龙凤胎:
大男宝重6.52斤,小女宝重4.8斤🔽

投稿邮箱:chuanbeiol@163.com 详情请访问川北在线:http://www.guangyuanol.cn/